歯性上顎洞炎は治しましょう
歯性上顎洞炎は治しましょう
こんにちは院長の亀井です
上顎洞炎ってご存じですか? いわゆる蓄膿のことで、原因は鼻の場合と歯の場合があります
歯が場合の場合 CTを撮影するとわかります 。上の写真のように 写真右上が白く曇って見えます
通常 片方だけが曇っている場合は歯性上顎洞炎を疑います。治療法として抜歯が選択されることもあります。
ただ 高度な技術を要する精密根管治療を行えば歯性上顎洞炎は治る可能性はあります

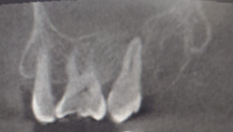
術前 一番奥の歯の根の先に影 上顎洞内は白濁して映っています

術後 精密根管治療を行ったおかげで 上顎洞内はすっきりしました
患者さんは 長年悩まされてた 鼻づまりが嘘のように治ったと喜んでおられます
上顎洞炎で抜歯勧められた方 精密根管治療を一度検討してみてはいかがですか?





